Παθήσεις - Κακώσεις

Κατάγματα μακρών οστών άνω και κάτω άκρου

Τα εν λόγω κατάγματα είναι αρκετά συνηθισμένα και συχνά συμβαίνουν μετά από τροχαία ατυχήματα ή πτώση από ύψος. Παρατηρείται εξαιρετικά μεγάλη ποικιλία στη μορφή τους, κατα κανόνα όμως είναι σοβαρά και πολλές φορές ανοικτά – δηλ με τραύμα στο σημείο του κατάγματος – κάτι που αυξάνει τον κίνδυνο λοίμωξης και επιβαρύνει την πορεία της θεραπείας. Στα κατάγματα των άνω άκρων ενδέχεται να υπάρξει και τραυματισμός νεύρων, που χρειάζεται επίσης αντιμετώπιση.

Με τα σύγχρονα μέσα που διαθέτουμε, όλα σχεδόν αυτά τα κατάγματα πρέπει να αντιμετωπίζονται χειρουργικώς. Υπάρχει πληθώρα υλικών οστεοσύνθεσης (πλάκες διαφόρων τύπων, ενδομυελικοί ήλοι, συστήματα εξωτερικής οστεοσύνθεσης) που είναι διαθέσιμα και επαφίεται στην εμπειρία του χειρουργού η επιλογή.

Οπως και άλλοι εξοικειωμένοι χειρουργοί διεθνώς, χρησιμοποιώ τεχνικές ελάχιστης παρέμβασης (Minimal Invasive Surgery), δηλαδή μικρές τομές, επειδή έτσι το χειρουργικό τραύμα είναι ελάχιστο, με αποτέλεσμα ταχύτερη επούλωση. Ταχύτερη πώρωση των καταγμάτων, ταχύτερη κινητοποίηση.

Φυσικά το τελικό αποτέλεσμα θα εξαρτηθεί εν πολλοίς από τον τύπο του κατάγματος και την δεινότητα του χειρουργού.

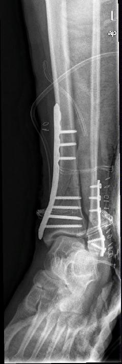
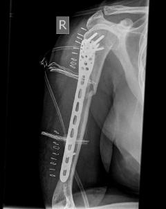
Περίπτωση 1ου ασθενούς

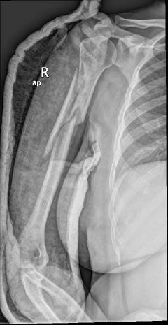
Περίπτωση 2ου ασθενούς

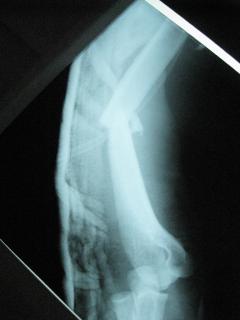
Περίπτωση 3ου ασθενούς

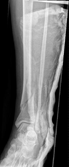
Περίπτωση 4ου ασθενούς

Όλες οι φωτογραφίες ολες προέρχονται από το προσωπικό αρχείο του κου Μ. Τυλλιανάκη