Παθήσεις - Κακώσεις

Κατάγματα σκαφοειδούς

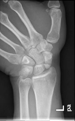
Το σκαφοειδές ανήκει στα μικρά οστά του καρπού και είναι αυτό που υφίσταται κάταγμα συχνότερα. Συνήθως συμβαίνει στις ηλικίες 20 - 40 ετών. Οσο κεντρικότερα (προς τον αγκώνα) είναι το κάταγμα τόσο δυσμενέστερη είναι η πρόγνωση για την πώρωσή του («κόλλημα» του κατάγματος).

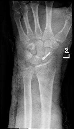
Τα περισσότερα κατάγματα σκαφοειδούς μπορεί να αντιμετωπιστούν επιτυχώς χωρίς χειρουργική επέμβαση. Αυτό όμως συνεπάγεται γύψινη ακινητοποίηση από 8 εβδομάδες έως και 6 μήνες. Γι’ αυτό η τρέχουσα τάση είναι να χειρουργούνται, εκτός εάν συντρέχουν λόγοι που αποτρέπουν αυτή την απόφαση. Χρησιμοποείται ειδικά σχεδιασμένες βίδες ή βελόνες. Με τον τρόπο αυτό αποφεύγεται η χρήση γύψου, ο ασθενής επιστρέφει ταχύτερα στην εργασία του και οι επιπλοκές περιορίζονται σημαντικά.

Χρησιμοποιώ τεχνικές ελάχιστης παρέμβασης (Μinimal Ιnvasive Surgery), όπως και άλλοι χειρουργοί χειρός διεθνώς. Η επέμβαση γίνεται μέσω μιας τομής 1 εκατοστού, υπό διεγχειρητικό ακτινοσκοπικό έλεγχο. Το διεγχειρητικό τραύμα ελάχιστο, δεν χρειάζεται μετεγχειρητική ακινητοποίηση και η πώρωση είναι ταχύτερη, καθώς δεν έχει επηρεαστεί περαιτέρω η αιμάτωση του σκαφοειδούς.

Τονίζεται το θέμα της αιμάτωσης του σκαφοειδούς, διότι εύκολα διαταράσσεται σε κατάγματα, με αποτέλεσμα την εμφάνιση επιπλοκών, όπως άσηπτη νέκρωση του κεντρικού τμήματος ή καθυστερημένη πώρωση κσι ψευδάρθρωση (δηλαδή μή πώρωση). Αυτές οι επιλοκές αντιμετωπίζονται χειρουργικώς με χρήση οστικών μοσχευμάτων σε συνδυασμό με σύνθετες τεχνικές (βλ σχετικό κεφάλαιο).

Όλες οι φωτογραφίες ολες προέρχονται από το προσωπικό αρχείο του κου Μ. Τυλλιανάκη